Our Solution
Our Approach
ContourAId combines state-of-the-art deep learning with clinical expertise to create an AI-powered platform that addresses the key challenges in radiation therapy planning.
AI-Powered Auto-Contouring
Automatically segment organs at risk and target volumes using advanced deep learning models trained on diverse datasets, reducing manual contouring time while maintaining clinical accuracy.
Real-Time Quality Control
Instant dosimetric feedback and automated QA checks support consistent, high-quality plans. Our quality assurance methods are based on geometric and dosimetric validation.
Seamless Integration
Designed to integrate directly into existing radiotherapy workflows and treatment planning systems with minimal disruption to established clinical processes.
Robust and Generalizable
Handle diverse imaging protocols and scanners using advanced techniques to minimize domain adaptation challenges across different institutions.
Platform Features

Comprehensive Dashboard
Intuitive interface providing at-a-glance overview of treatment planning workflows, patient cases, and quality metrics. Track progress, monitor system performance, and manage multiple cases efficiently from a single centralized dashboard.

Dosimetric Quality Assessment
Advanced dose metrics visualization and analysis tools providing real-time feedback on organ-at-risk doses, target coverage, and plan quality indicators. Identify potential issues early in the planning process with automated quality checks.

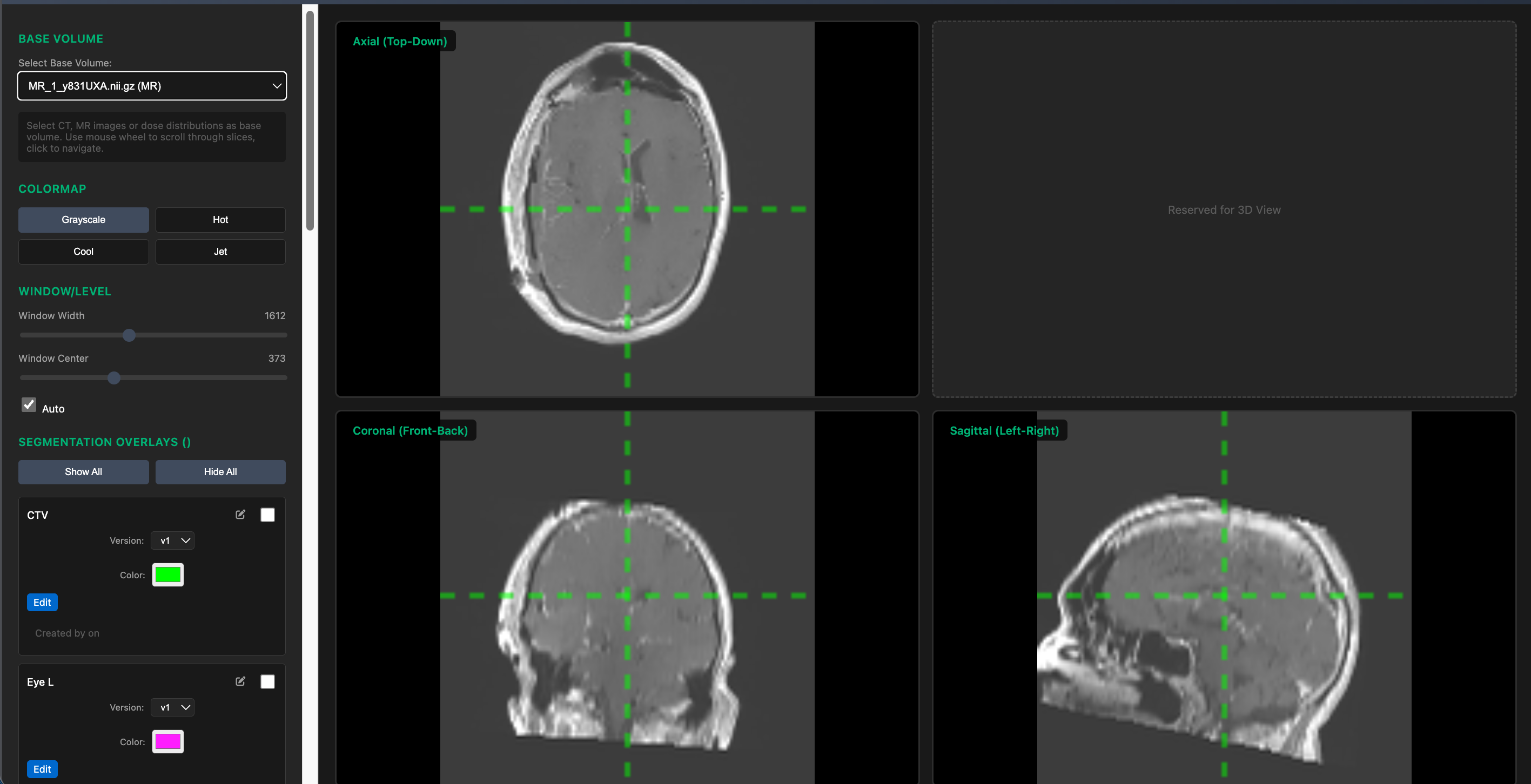
Web-Based Image Viewer
Access medical images and contours from anywhere with our browser-based viewer. No additional software installation required. Supports multi-planar reconstruction, window/level adjustment, and collaborative review capabilities.

Intelligent Editing Tools
Refine AI-generated contours with precision editing tools designed for clinical workflows. Smart interpolation, brush tools, and automated propagation features enable rapid corrections while maintaining anatomical accuracy.

Version Control and Comparison
Track changes across contour iterations with built-in version control. Visual diff tools highlight modifications between versions, enabling easy comparison and audit trail maintenance for quality assurance and peer review.
Potential Impact
For Clinicians
- Aims to significantly reduce planning time
- Designed to reduce peer review time per case
- Intended to decrease burnout with automated repetitive tasks
- Enables focus on clinical decision-making, not manual contouring
For Patients
- Aims to enable faster treatment initiation
- Designed to support consistent, standardized care across institutions
- Aims to reduce treatment toxicity through precise contouring
- Designed to improve quality of life with optimized treatment plans
